[专家介绍],一级主任医师,教授,医学博士,医学与伦理学双博士后,博士研究生导师、博士后合作导师,研究方向:老年内分泌与代谢病学、老年重大慢病防治与管理。擅长糖尿病及并发症、甲状腺疾病、痛风和高尿酸血症等内分泌疾病的临床诊治。现任湖南省老年医学研究所所长,湖南省人民医院老年医学中心主任,宁夏回族自治区政府特聘专家;中国老年医学学会慢病防治与管理分会会长,中国老年医学学会常务理事,中华中医药学会治未
【摘要】目的探讨果糖-2,6-二磷酸酶(PFKFB)对肿瘤的免疫和药物敏感性调节作用,分析PFKFB家族成员的基因表达、免疫亚型和药物敏感性,为癌症治疗靶点提供新的知识。方法从癌症基因组图谱(TCGA)下载了33种癌症的数据,包括RNA 测序、临床表型及免疫亚型。细胞数据和RNA测序数据则从CelIMiner获取使用Perl语言和 R语言及其包处理数据。使用Wilcoxon检验法处理并分析从TCGA数据库中下载的上述测序数据。结果PFKFB家族成员在不同癌症中的表达表现出不同的异质性。PFKFB1、PFKFB3和PFKFB4预测了多发癌症患者的不良预后,所有成员均与免疫反应相关。研究发现PFKFB2和PFKFB4可能促进癌细胞的药物抗性。结论基于基因表达及其与免疫浸润和肿瘤微环境的相关性,PFKFB家族成员在每种癌症中具有特异性作用,PFKFB2和PFKFB4可能作为癌症治疗的靶点。
【摘要】目的建立一种能稳定获得高活力、高纯度肝纤维化小鼠原代肝细胞的分离及纯化方法。方法对经典的两步胶原酶灌流法进行改进,采用下腔静脉灌流、间断夹闭门静脉灌注、肝细胞悬液进行 50% Percoll密度梯度离心纯化。体外培养纯化的肝细胞,并进行AIbumin和HNFlα免疫荧光染色。结果分离纯化的肝纤维化小鼠原代肝细胞的存活率能稳定达到 (92.93±1.93)% ,平均活细胞总数为 (1~2)×107 每只成年小鼠,细胞在体外培养 2h 后贴壁生长,呈现AIbumin和HNF1α染色阳性。结论成功建立了稳定获得高纯度、高活力肝纤维化小鼠原代肝细胞分离培养的技术。
【摘要】目的探讨异常凝血酶原(PIVKA-ⅡI)、甲胎蛋白(AFP)、红细胞分布宽度与血小板比值(RPR)联合应用在乙肝病毒相关性肝细胞癌(HBV-HCC)中的早期诊断价值。方法选取贵港市人民医院 2022年7月至2023年3月收治的HBV-HCC患者45例为病例组(均为TNMI~Ⅱ期),以同期正常对照组(71例健康体检者)和肝硬化对照组(45例乙肝肝硬化患者)作为对照。检测三组血清PIVKA-II、AFP水平及RPR值,比较不同指标单独及联合检测对 HBV-HCC的诊断效能。结合相关图形进一步分析各指标间的关系及联合诊断优势。结果病例组PIVKA-ⅡI、AFP水平均显著高于正常对照组和肝硬化对照组( P<0.05 ;RPR值高于正常对照组,但低于肝硬化对照组( P< 0.05)。PIVKA-II、AFP、RPR单独检测诊断HBV-HCC的敏感度分别为 93. 3%.93. 3%.80. 0% ,特异度分别为98.3%.96.6%.56.9% ;三者联合检测敏感度提高至 97.8% ,特异度为 100.0% 。基于列线图及校准曲线分析,联合检测模型具有良好的预测性能和准确性。结论PIVKA-II、AFP、RPR联合应用可提高HBV-HCC 早期诊断的敏感度,具有重要的临床应用价值。
【摘要】目的探讨多模态超声技术[经胸超声心动图(TTE)、经胸超声心动图右心声学造影(c-TTE)、对比增强经颅多普勒超声(c-TCD)及 ρc -TTE联合 σc -TCD检查]在卵圆孔未闭(PFO)及右向左分流(RLS)诊断中的应用效果及临床价值。方法回顾性纳入2022年5月至2024年5月因不明原因脑卒中或偏头痛就诊于柳州市人民医院并经食管超声心动图(TEE)确诊为PFO的68例患者,比较多模态超声技术在静息状态及Valsalva动作后对RLS的检出灵敏度、分流分级,并分析RLS等级与PFO双房侧开口内径及隧道长度的相关性。结果 c-TIE(95.59% )、 σc -TCDL 88.24% )对PFO(RLS)的检出灵敏度显著高于 TTE(13.24% ,均 P<0.001 ),联合检查灵敏度达 97.06% ;Valsalva动作后 σc -TTE及联合检查检出率显著提高( P<0.05) ;Ⅲ级分流中, c -TTE及联合检查检出率高于 σc -TCD( P<0.05 ;相关性分析提示, σc -TTE中PFO双房侧开口内径与RLS分级呈正相关( P<0.05) ,联合检查中PFO隧道长度及左房侧开口内径与RLS分级呈正相关( P<0.05 )。结论多模态超声技术在PFO诊疗中价值显著。 σc -TTE联合 |σc| -TCD检查无创、可重复,且配合标准Valsalva动作可提升检出率,可作为不明原因脑卒中或偏头痛患者的首选筛查工具,也为TEE禁忌者提供有效替代方案; c -TTE及联合检查对PFO形态及分流等级的评估,可为临床早期诊断、治疗决策及预后评估提供科学依据。
【摘要】目的分析影响疑难配血患者输注红细胞效果的因素,并构建其预测模型。方法回顾性分析钦州市第一人民医院收治的105例疑难配血患者的病例资料,根据患者输注红细胞的疗效分为有效组(55例)和无效组(50例),通过单因素分析两组患者的一般资料、血清学特征、血生化和血常规等指标的差异,进一步采用多因素 logistic回归分析疑难配血患者红细胞输注无效的危险因素,并构建输注无效的风险预测模型。结果单因素分析结果显示,两组患者在年龄、输血史、发热、感染、血液病、直接抗球蛋白试验(DAT)、抗体筛查、白细胞计数、血红蛋白、总胆红素方面差异有统计学意义( P<0.05) ;多因素logistic回归分析显示,有输血史、发热、感染、抗体筛查阳性、血红蛋白水平低是疑难配血患者红细胞输注无效的独立影响因素( P<0.05) ,构建疑难配血患者红细胞输注无效的列线图预测模型,该模型经验证后的 AUC=0.970 ,预测性能良好。结论有输血史、发热、感染、抗体筛查阳性、低血红蛋白水平导致疑难配血患者红细胞输注无效的风险相对较高,针对上述危险因素,构建的预测模型为疑难配血患者红细胞输注无效的防治提供科学依据。
【摘要】目的探讨住院新生儿流行性感冒(简称流感)的临床特点和诊疗情况。方法收集2018年10月至2025年3月郑州市妇幼保健院51例住院流感新生儿的临床资料进行回顾性分析。结果51例流感新生儿中甲型流感(简称甲流)32例,乙型流感(简称乙流)19例,主要感染日龄为 >14 天的新生儿( 80.4% ),感染时间主要分布在冬季(80.4%) ,常见症状为发热( 78.4% )、咳嗽 (62.7% ),消化道症状少见(纳差3例,呕吐1例)。半数以上患儿白细胞计数正常( 62.7% ) 33.3% 的患儿白细胞降低。部分患儿合并细菌感染 (21.6% )及其他病毒感染( 13.7% )。经治疗后51例患儿均好转或治愈,无死亡病例。与乙流组相比,甲流组表现出发热症状的比例较高( P=0.002 ),且发生肺炎的比例高于乙流组( P=0.007 )。此外,乙流组出现咳嗽的比例高于甲流组( P=0.015 )。结论新生儿流感多见于14天以上新生儿,冬季高发。感染流感病毒后,甲型流感患儿更易出现发热,且发生肺炎的风险较高。
【摘要】目的探讨多层螺旋CT(MSCT)征象术前预测透明细胞肾细胞癌(ccRCC)WHO/ISUP 病理分级的价值。方法回顾性收集经手术后病理组织学确诊为ccRCC的68例患者,患者术前均行腹部CT平扫 + 三期增强扫描,根据WHO/ISUP分级,将I、Ⅱ级纳入低级别组(49例),II、V级纳入高级别组(19例)。采集两组患者的一般临床资料及MSCT征象,并进行对比分析,采用logistic回归分析ccRCC不同WHO/ISUP分级的影响因素,并绘制受试者工作特征(ROC)曲线评价其ccRCCWHO/ISUP分级的诊断效能。结果高、低级别ccRCC患者在相关临床症状、最大径、形态、分叶征、肾窦侵犯、瘤内动脉、瘤周静脉方面比较差异有统计学意义( P<0.05 )。Logistic回归分析结果显示瘤内动脉、瘤周静脉为独立预测指标,ROC曲线显示联合模型预测ccRCCWHO/ISUP分级的 AUC(0.897 )均高于单一指标(瘤内动脉、瘤周静脉的AUC分别为0.828、0.803)。结论MSCT征象与cCRCC的WHO/ISUP分级密切相关,瘤内动脉、瘤周静脉是ccRCC WHO/ISUP 分级的独立预测指标,两者联合模型术前能较准确预测ccRCC WHO/ISUP分级,可以为临床进一步制订ccRCC的治疗方案提供依据。
【摘要】目的探讨 2019—2024年融水苗族自治县手足口病的流行特点及发病趋势,旨在为当地手足口病的预防与控制工作提供参考依据。方法收集 2019—2024年融水苗族自治县手足口病的发病数据,运用描述性流行病学方法对融水苗族自治县手足口病的群体特征、时间分布规律及空间分布情况进行分析,采用R4.4.3软件构建 ARIMA模型对2025年发病趋势进行预测。结果2019—2024年期间融水苗族自治县累计报告了4740例手足口病病例,年均发病率为 150.81/10 万。发病人群主要集中在5岁以下儿童( 83.42% ),男女比例为 1.39:1 。发病的高峰期在4—7月9—11月,该地的手足口病年均发病率位居前三的地区分别为融水镇、香粉乡、三防镇。运用最优模型ARIMA(O,0,2) (0,0,0)12 进行预测,2025年发病趋势相对平稳。结论2019—2024年融水苗族自治县手足口病的流行具有明显的时间、空间及人群分布特征,建议提高公众对疫苗接种的参与度和覆盖率。
【摘要】目的调查广西地区放射科护士辐射防护知识的认知情况及其影响因素,分析其培训需求,为制订有效的培训策略提供依据。方法2024年6月至8月选取广西护理学会成员单位的226名放射科护士为研究对象,采用自行编制的辐射防护知识量表进行调查,分析放射科护士辐射防护知识现状及影响因素。结果放射科护士辐射防护知识得分为( 121.96±26.32 )分,处于中等水平。医院等级和是否接受充分的辐射防护知识教育是其主要影响因素 P<0.05) 。线上学习是最受欢迎的培训形式 82.74% )。结论放射科护士辐射防护知识的认知情况整体良好但仍有提升空间。建议医院管理者建立系统化的培训和考核机制,采用线上线下相结合的培训模式,提升护士辐射防护意识与能力。
【关键词】分子诊断技术;泌尿系结核;早期检测;诊断效能;临床应用 中图分类号:R527:R446 文献标志码:A DOI:10. 3969/j. issn.1003-1383.2025.12.011 泌尿系结核(urinarytuberculosis,UTB)作为肺外结核的特殊类型,其潜伏感染的临床识别面临重大挑战[1]。患者常无临床症状,但在免疫抑制等诱因下可进展为致死性活动性结核,凸显了改进
【关键词】急性胰腺炎;血清标志物;严重程度预测;动态监测;联合评估模型 中图分类号: R657.5+1 文献标志码:A DOI:10.3969/j.issn.1003-1383.2025.12.012 急性胰腺炎(acutepancreatitis,AP)是一种常见的消化系统疾病,其临床表现范围广泛,从轻微的自限性炎症到危及生命的重症急性胰腺炎(severeacutepancreatitis,S
中图分类号:R749.94 文献标志码:A DOI:10.3969/j.issn.1003-1383.2025.12.013 精神心理障碍是指一系列因大脑功能失调而导致的认知、情感、意志和行为等方面的异常疾病[1-2]随着社会经济的迅速发展,我国的儿童和青少年正面临来自学业竞争、环境适应和人际交往等多方面的心理压力。《中国国民心理健康发展报告2023—2024》显示,我国儿童和青少年中精神心理障
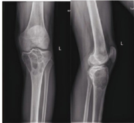
中图分类号:R738.1 文献标志码:B DOI:10.3969/j.issn.1003-1383.2025.12.014 骨巨细胞瘤(giantcell tumorofbone,GCT)为低度恶性或潜在恶性的肿瘤,由Jaffe于1940年首次发现,为常见的原发性骨肿瘤之一,其来源尚不清楚,有研究认为起源于非成骨性结缔组织,具有较强侵袭性,对骨质的溶蚀破坏作用大[1],可穿过骨皮质形成软组织包块
中图分类号:G712;R94 文献标志码:B DOI:10.3969/j.issn.1003-1383.2025.12.015 在制药行业中,标准化操作、实践能力和创新思维显得尤为重要。药物制剂技术是高职药学专业的关键课程,旨在与药品生产企业的制剂岗位紧密结合,培养能够在药物制剂及相关技术领域从事研发、工艺设计、生产优化和质量控制等工作的应用型和技能型人才[]。随着药物制剂技术的不断进步以及新型